Ostroga piętowa leczenie – jak skutecznie pozbyć się bólu?
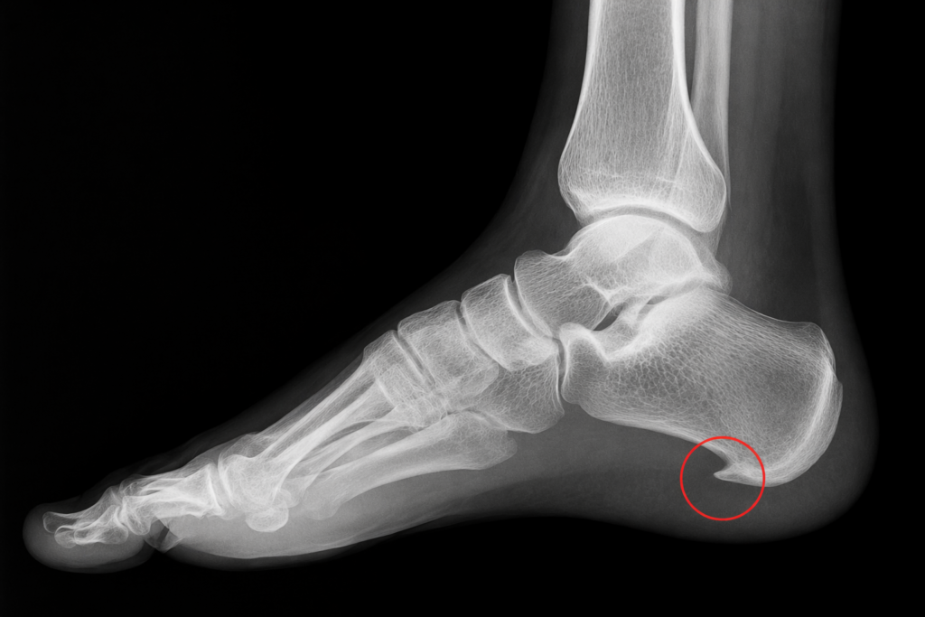
Ostroga piętowa leczenie to temat, który interesuje wiele osób zmagających się z przewlekłym bólem stopy. Schorzenie to rozwija się na skutek przeciążenia rozcięgna podeszwowego i prowadzi do powstawania bolesnej narośli kostnej. Odpowiednio dobrana terapia oraz produkty medyczne mogą znacząco przyspieszyć powrót do komfortu chodzenia.

Skuteczne leczenie ostrogi piętowej – od czego zacząć?
Podstawą terapii jest odciążenie pięty, zmniejszenie stanu zapalnego oraz poprawa biomechaniki stopy. W praktyce oznacza to połączenie kilku metod:
- stosowanie produktów ortopedycznych,
- regularne ćwiczenia i masaż,
- wsparcie terapii poprzez stabilizację i kompresję.
Terapia manualna i fala uderzeniowa w leczeniu ostrogi piętowej
W leczeniu ostrogi piętowej bardzo dobre efekty przynosi wsparcie fizjoterapeuty. Terapia manualna polega na pracy z tkankami miękkimi stopy i łydki – rozluźnianiu napiętego rozcięgna podeszwowego, mobilizacji stawów oraz poprawie elastyczności mięśni. Regularne wizyty mogą znacząco zmniejszyć ból oraz przyspieszyć regenerację.
Uzupełnieniem terapii jest zabieg fali uderzeniowej. To nowoczesna metoda, która wykorzystuje impulsy akustyczne do stymulacji tkanek. Dzięki temu:
- poprawia się ukrwienie,
- zmniejsza stan zapalny,
- przyspiesza proces gojenia,
- redukowany jest przewlekły ból.
Fala uderzeniowa jest szczególnie polecana w przypadkach, gdy dolegliwości utrzymują się przez dłuższy czas. Połączenie jej z terapią manualną oraz codziennym wsparciem w postaci wkładek czy ćwiczeń daje bardzo dobre efekty terapeutyczne.
Wkładki ortopedyczne na ostrogę piętową
Wkładki ortopedyczne to jedno z najskuteczniejszych rozwiązań wspierających leczenie ostrogi piętowej. Ich zadaniem jest prawidłowe ustawienie stopy oraz redukcja nacisku na piętę.
👉 Sprawdź ofertę: wkładki ortopedyczne na ostrogę piętową
Korzyści:
- zmniejszenie bólu podczas chodzenia,
- poprawa amortyzacji,
- wsparcie łuku stopy.
Silikonowe podpiętki – ulga dla pięty
Podpiętki silikonowe to szybki sposób na zmniejszenie bólu. Dzięki miękkiej strukturze amortyzują wstrząsy i odciążają bolesne miejsce.
👉 Zobacz: silikonowe podpiętki na ostrogę piętową wyższe
👉 Zobacz: silikonowe podpiętki na ostrogę piętową niższe
Są szczególnie polecane osobom aktywnym oraz pracującym w pozycji stojącej.

Skarpetki uciskowe na ostrogę piętową
Skarpetki kompresyjne wspierają leczenie poprzez poprawę krążenia i stabilizację stopy. Regularne stosowanie może przyczynić się do zmniejszenia stanu zapalnego.
👉 Sprawdź: skarpetki uciskowe na ostrogę piętową
Dodatkowo pomagają zmniejszyć poranny ból, który jest typowy dla tego schorzenia.
Kinesiotaping w leczeniu ostrogi piętowej
Kinesiotaping to metoda polegająca na aplikacji specjalnych taśm wspierających pracę mięśni i powięzi. Odpowiednia aplikacja zmniejsza napięcie rozcięgna podeszwowego.
👉 Dowiedz się więcej: kinesiotaping ostroga piętowa
To rozwiązanie często stosowane w fizjoterapii, które można również wykorzystać samodzielnie po przeszkoleniu.

Piłeczki do rolowania i masażu stopy
Regularny masaż stopy to ważny element terapii. Piłeczki do rolowania pomagają rozluźnić napięte tkanki i poprawić elastyczność.
👉 Zobacz produkty: piłeczki do rolowania stopy
Wystarczy kilka minut dziennie, aby odczuć wyraźną poprawę.

Jak zwiększyć skuteczność leczenia ostrogi piętowej?
Aby leczenie było efektywne, warto:
- nosić odpowiednie obuwie z amortyzacją,
- unikać przeciążenia stóp,
- stosować produkty ortopedyczne codziennie,
- wykonywać ćwiczenia i masaże systematycznie.
Podsumowanie – ostroga piętowa leczenie krok po kroku
Ostroga piętowa leczenie wymaga kompleksowego podejścia. Połączenie wkładek ortopedycznych, podpiętek silikonowych, kinesiotapingu oraz ćwiczeń daje najlepsze efekty. Wdrożenie odpowiednich produktów i nawyków pozwala nie tylko zmniejszyć ból, ale również zapobiegać nawrotom schorzenia.









